Galería
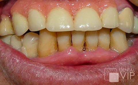
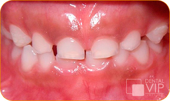
En esta sección te presentamos una galería de fotos donde se aprecian los servicios odontológicos más destacados que ofrecemos en Dental VIP Service. En las fotografías podrás detallar el proceso de los servicios que ofrecemos para rehabilitación oral y ortodoncia. Los casos han sido tratados con nuestros profesionales y evidencian los resultados que nuestros pacientes han obtenido.
Cosmética DentalDiseño de Sonrisa
Implantes Dentales
Ortodoncia
Rehabilitación Oral
Tratamientos Combinados de Ortodoncia y Cirugía Ortognática
Pre-Tratamiento
Tratamiento
Pos-Tratamiento
Cefalometría
Tratamiento
Pos-Tratamiento
Pre-Tratamiento
Pos-Tratamiento
Pre-Tratamiento
Pos-Tratamiento
Pre-Tratamiento
Tratamiento
Pos-Tratamiento
